
조직검사학(Histotechnology)에서 염색(staining)은 조직과 세포의 구조를 명확히 구분하고 병리학적 변화를 관찰하기 위한 필수 과정입니다. 대부분의 조직은 무색에 가까워 현미경 관찰이 어렵기 때문에, 핵(nucleus)과 세포질(cytoplasm)을 선택적으로 염색함으로써 조직의 형태학적 특징을 시각적으로 확인하게 됩니다. 특히 핵과 세포질의 염색 양상은 정상 조직과 병변 조직을 감별하는 중요한 기준으로 활용됩니다.
1. 조직 염색의 기본 원리와 핵 염색의 특징
조직 염색은 염료(dye)와 조직 성분 간의 화학적 또는 물리적 결합에 의해 이루어집니다. 조직 성분은 전하 특성에 따라 산성(acidic) 또는 염기성(basic)을 띠며, 이에 따라 결합하는 염료의 종류가 달라집니다. 염기성 염료는 양전하를 띠어 음전하를 가진 구조와 결합하고, 산성 염료는 음전하를 띠어 양전하를 가진 구조와 결합합니다.
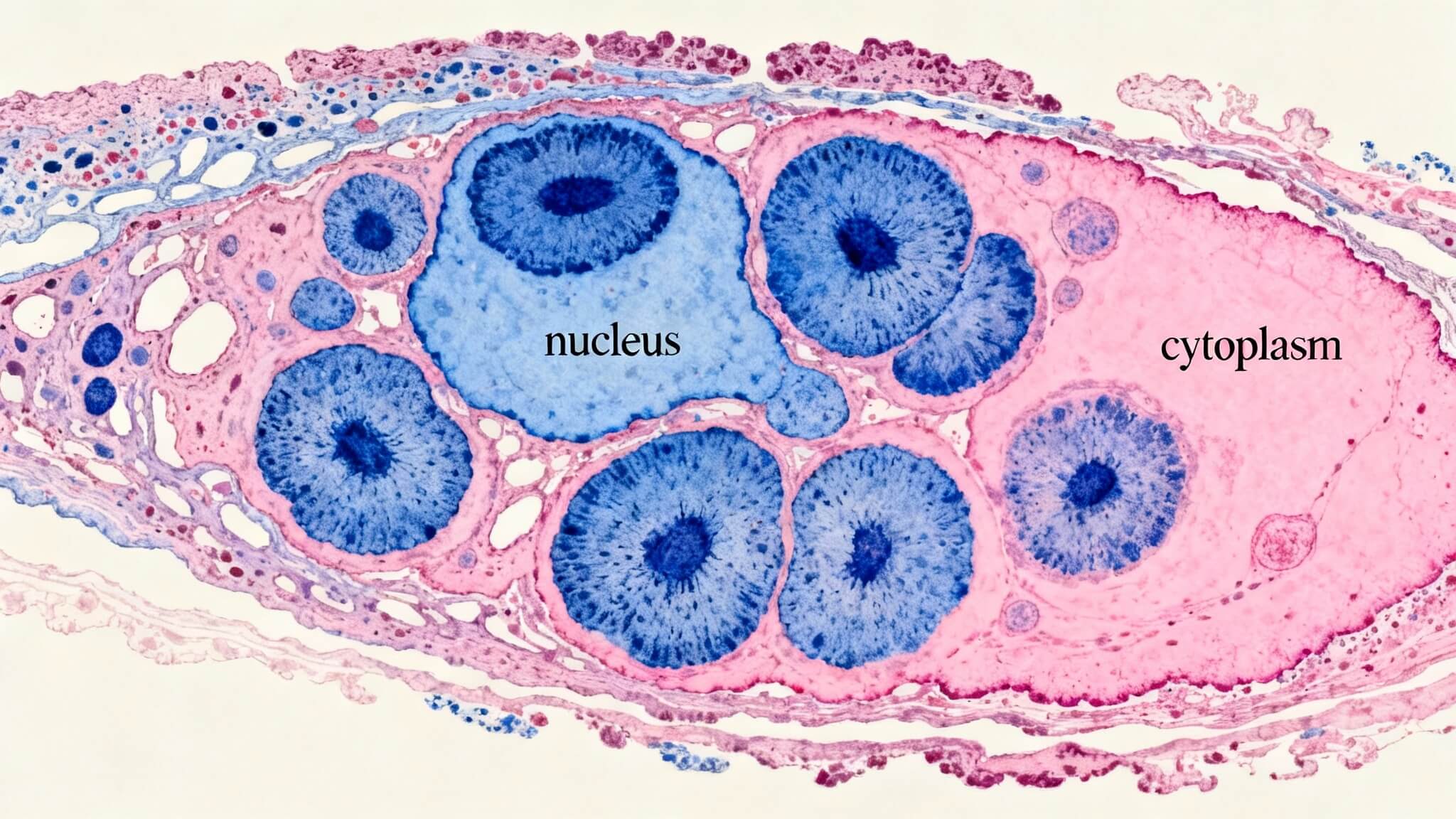
핵은 DNA와 RNA와 같은 핵산(nucleic acid)을 풍부하게 포함하고 있으며, 인산기(phosphate group)로 인해 강한 음전하를 띠는 구조입니다. 따라서 핵은 염기성 염료와 친화성이 높은 염기친화성(basophilic) 구조로 분류됩니다. 조직검사학에서 가장 대표적인 핵 염료는 헤마톡실린(hematoxylin)으로, 산화된 헤마테인(hematein)이 금속 이온(mordant)과 결합하여 핵을 청자색 또는 남보라색으로 염색합니다.
핵 염색은 핵의 크기, 형태, 염색질(chromatin)의 분포를 평가하는 데 중요한 정보를 제공합니다. 악성 종양(malignant tumor)에서는 핵 비대(nuclear enlargement), 핵 과염색(hyperchromasia), 핵막의 불규칙성 등의 변화가 흔히 관찰되며, 이는 병리 진단의 핵심 소견으로 활용됩니다.
2. 세포질 염색의 원리와 형태학적 의미
세포질은 단백질(protein), 미토콘드리아(mitochondria), 소포체(endoplasmic reticulum) 등 다양한 구조물을 포함하며, 아미노기(amino group)가 풍부하여 상대적으로 양전하를 띱니다. 이러한 특성으로 인해 세포질은 산성 염료와 잘 결합하는 산친화성(eosinophilic) 구조로 분류됩니다.
세포질 염색에 가장 널리 사용되는 염료는 에오신(eosin)으로, 세포질과 근육 조직, 결합조직의 콜라겐(collagen) 등을 분홍색 또는 적색 계열로 염색합니다. 세포질 염색의 정도와 양상은 세포의 분화 정도(differentiation)와 기능적 특성을 반영합니다.
예를 들어, 편평상피암(squamous cell carcinoma)에서는 케라틴(keratin) 생성 증가로 인해 세포질이 강한 호산성(eosinophilia)을 보이는 경우가 많으며, 이는 조직학적 진단에 중요한 단서가 됩니다.
3. 핵과 세포질 염색의 조화와 임상적 중요성
핵과 세포질 염색의 대표적인 예는 H&E 염색(hematoxylin and eosin stain)입니다. H&E 염색에서는 핵이 청자색, 세포질이 분홍색으로 대비되어 조직의 전체적인 구조와 세포 배열을 직관적으로 관찰할 수 있습니다. 이 염색법은 염증(inflammation), 괴사(necrosis), 종양(tumor) 등 대부분의 병리적 변화 평가에 표준적으로 사용됩니다.
핵과 세포질의 염색 양상은 단순한 색의 차이를 넘어 세포의 생리적 상태와 병리적 변화를 반영합니다. 핵 염색의 변화는 세포 증식과 유전적 안정성을 평가하는 지표가 되며, 세포질 염색은 조직의 분화도와 기능적 특성을 판단하는 근거가 됩니다. 따라서 염색의 균일성, 염색 강도, 탈색 과정의 적절한 조절은 조직검사학 실무와 병리 진단의 정확성을 좌우하는 중요한 요소라 할 수 있습니다.